Lymphoma - Non-Hodgkin Lymphoma - There are two major types of hodgkin lymphoma:

Lymphoma - Non-Hodgkin Lymphoma - There are two major types of hodgkin lymphoma:. These cancers change the way blood cells behave and how well they work. Lymphoma is cancer that starts in the lymph glands or other organs of the lymphatic system. Lymphoma is an umbrella term for a group of blood cancers that affect lymphocytes, a type of white blood cell. The name often refers to just the cancerous versions rather than all such tumours. Lymphocytes travel through the blood and lymphatic system to defend the body against foreign invaders like bacteria and viruses.

Lymphoma is an umbrella term for a group of blood cancers that affect lymphocytes, a type of white blood cell. Lymphoma is a general term for cancers that start in the lymph system (the tissues and organs that produce, store, and carry white blood cells that fight infections). Learn about lymphoma, a cancer that starts in the lymph system. Lymphoma about half of the blood cancers that occur each year are lymphomas, or cancers of the lymphatic system. These are large, cancerous cells found in hodgkin lymphoma tissues, named for the scientists who first identified them.

Lymphoma in Cats - What to Know About This Common Cancer
Lymphoma in Cats - What to Know About This Common Cancer from criticalcaredvm.com
Lymphoma a group of blood cancers that develop in the lymphatic system. It collects and destroys invading organisms, such as bacteria and viruses, and abnormal cells. But it most often begins in lymph nodes in the chest, neck or under the arms. Lymphomas refers to types of cancer that begin in the lymphatic system (the various lymph glands around the body) when abnormal white blood cells grow. The name often refers to just the cancerous versions rather than all such tumours. These cancers change the way blood cells behave and how well they work. The two main kinds of lymphoma are— hodgkin lymphoma, which spreads in an orderly manner from one group of lymph nodes to another. There are many different types of lymphoma and the treatment you need depends on the type you have.

One type is hodgkin disease.

The lymphatic system includes the lymph nodes (lymph glands), spleen, thymus gland and bone marrow. But it is very rare, accounting for about 2 percent of all lymphoma diagnoses. It collects and destroys invading organisms, such as bacteria and viruses, and abnormal cells. These cancers change the way blood cells behave and how well they work. Explore the links on this page to learn more about lymphoma. Hodgkin lymphoma can often be cured. There are no less than 70 different types and subtypes of lymphoma, broadly classified under two categories: It develops in lymphocytes, which are a type of white blood cell. The main difference is that leukemia affects the blood and bone marrow, while lymphomas mainly. The name often refers to just the cancerous versions rather than all such tumours. Lymphoma is the most common type of blood cancer. Lymphoma about half of the blood cancers that occur each year are lymphomas, or cancers of the lymphatic system. Specifically, lymphoma is a cancer that affects lymphocytes, which are a type of white blood cell.

Leukemia and lymphoma are both forms of blood cancer, but they affect the body in different ways. Specifically, lymphoma is a cancer that affects lymphocytes, which are a type of white blood cell. Symptoms from lymphoma in the chest when lymphoma starts in the thymus or lymph nodes in the chest, it may press on the nearby trachea (windpipe), which can cause coughing, trouble breathing, or a feeling of chest pain or pressure. It develops in lymphocytes, which are a type of white blood cell. Hodgkin lymphoma (hl) is a type of lymphoma in which cancer originates from a specific type of white blood cells called lymphocytes.

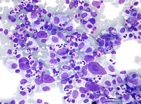
Pathology Outlines - Lymphoma
Pathology Outlines - Lymphoma from www.pathologyoutlines.com
The superior vena cava (svc) is the large vein that carries blood from the head and arms back to the heart. Hodgkin lymphoma (hl), of which there are six types, accounts for around 10% of all lymphoma cases in the united states. What is lymphoma the lymph system is a series of lymph nodes and vessels that move lymph fluid through the body. The lumps themselves are swollen lymph nodes, and they typically appear in the neck, armpit, or groin. Diagnostic testing is used to detect the cancer's stage, which helps the doctor determine an appropriate course of treatment. Burkitt lymphoma is considered the most aggressive form of lymphoma and is one of the fastest growing of all cancers. Hodgkin lymphoma can often be cured. When you're looking for information about lymphoma, make sure you know which type you want to know about.

These are large, cancerous cells found in hodgkin lymphoma tissues, named for the scientists who first identified them.

Symptoms from lymphoma in the chest when lymphoma starts in the thymus or lymph nodes in the chest, it may press on the nearby trachea (windpipe), which can cause coughing, trouble breathing, or a feeling of chest pain or pressure. Knowing more will help you understand how lymphoma is diagnosed and possible treatment options. One type is hodgkin disease. Hodgkin lymphoma (hl) is a type of lymphoma in which cancer originates from a specific type of white blood cells called lymphocytes. There are no less than 70 different types and subtypes of lymphoma, broadly classified under two categories: Lymphoma is a cancer of a part of the immune system called the lymph system. Leukemia and lymphoma are both forms of blood cancer, but they affect the body in different ways. Lymphoma is a group of malignant neoplasms of lymphocytes with more than 90 subtypes. Lymphoma is cancer that starts in the lymph glands or other organs of the lymphatic system. Hodgkin lymphoma (hodgkin disease or hl) is the less common form of lymphoma, affecting about 9,000 adults and children in the united states each year. The superior vena cava (svc) is the large vein that carries blood from the head and arms back to the heart. Many types of lymphoma exist. The name often refers to just the cancerous versions rather than all such tumours.

Knowing more will help you understand how lymphoma is diagnosed and possible treatment options. Lymphoma is a group of malignant neoplasms of lymphocytes with more than 90 subtypes. Many types of lymphoma exist. It is part of the immune system. Learn about lymphoma, a cancer that starts in the lymph system.

Lymphoma in Dogs | Urban Animal Veterinary Hospital ...
Lymphoma in Dogs | Urban Animal Veterinary Hospital ... from urbananimalveterinary.com
The superior vena cava (svc) is the large vein that carries blood from the head and arms back to the heart. The prognosis of nhl depends on the specific type. Lymphoma is an umbrella term for a group of blood cancers that affect lymphocytes, a type of white blood cell. Lymphoma is a broad term for cancer that begins in cells of the lymph system. There are many types of lymphoma. But it most often begins in lymph nodes in the chest, neck or under the arms. Not all such lumps are a sign of lymphoma. It is normal for lymph nodes to swell as they fill with white blood cells as part … continued

One type is hodgkin disease.

Learn about lymphoma, a cancer that starts in the lymph system. The prognosis of nhl depends on the specific type. Lymphoma is a group of malignant neoplasms of lymphocytes with more than 90 subtypes. Symptoms from lymphoma in the chest when lymphoma starts in the thymus or lymph nodes in the chest, it may press on the nearby trachea (windpipe), which can cause coughing, trouble breathing, or a feeling of chest pain or pressure. Leukemia and lymphoma are both forms of blood cancer, but they affect the body in different ways. It is part of the immune system. There are no less than 70 different types and subtypes of lymphoma, broadly classified under two categories: What is lymphoma the lymph system is a series of lymph nodes and vessels that move lymph fluid through the body. The main difference is that leukemia affects the blood and bone marrow, while lymphomas mainly. The lymphatic system includes the lymph nodes (lymph glands), spleen, thymus gland and bone marrow. Not all such lumps are a sign of lymphoma. Signs and symptoms may include enlarged lymph nodes, fever, drenching sweats, unintended weight loss, itching, and constantly feeling tired. These are large, cancerous cells found in hodgkin lymphoma tissues, named for the scientists who first identified them.